Cardiac
GI
Bone
GU
Neuro
Peds
Faculty
Student
Quizzes
Image DDX
Museum
Mobile
  Misc
Videocasts
Signs
Twitter

 

 


Learning
Radiology:
Recognizing
the Basics

Available
on the Kindle
and IPad


LearningRadiology Imaging Signs
on Twitter


 

Follow us on

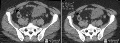
Case of the Week 533


What is the most likely diagnosis?

  • 51 year-old with intermittent RLQ pain



Axial CT Image of Pelvis with Region of Interest

  1. Lymphoma
  2. AVM
  3. Neurofibroma
  4. Small Bowel Lipoma
  5. Fibrovascular Polyp

Additional Image-None

 

Additional Images


None


Answer:

 

4. Small Bowel Lipoma

 

More (Click Discussion Tab)

 

 

Small Bowel Lipoma

General Considerations

  • Small bowel tumors are relatively rare, accounting for only 2% of all GI malignancies
  • Most lipomas of the GI tract occur in the colon, the small bowel being the 2nd most common site and accounting for about 25%
  • Usually solitary but may be multiple
  • Most small bowel lipomas are found in the ileum
  • Most often submucosal and may be pedunculated

    MORE . . .

     


    .

    This Week

    51 year-old with intermittent RLQ pain
     
     
    Some of the fundamentals of interpreting chest images
     
    The top diagnostic imaging diagnoses that all medical students should recognize according to the Alliance of Medical Student Educators in Radiology
     
    Recognizing normal and  key abnormal intestinal gas patterns, free air and abdominal calcifications
     
    Recognizing the parameters that define a good chest x-ray; avoiding common pitfalls
     
    How to recognize the most common arthritides




    LearningRadiology
    Named Magazine's
    "25 Most Influential"



    See Article on LearningRadiology
    in August, 2010
    RSNA News


    LearningRadiology.com
    is an award-winning educational website aimed primarily at medical students and radiology residents-in-training, containing  lectures, handouts, images, Cases of the Week, archives of cases, quizzes, flashcards of differential diagnoses and “most commons” lists, primarily in the areas of chest, GI, GU cardiac, bone and neuroradiology.